Prof. Dr. Doğancı: “Hasta çocuklar bir hafta evde izole edilmeli”
Bulaşıcı bir viral enfeksiyon olan el, ayak ve ağız hastalığında, özellikle sonbahar ve kış aylarında artış yaşanıyor. Özellikle 10 yaş altı çocuklarda artış gösteren hastalık, nadir de olsa yetişkinleri de etkileyebiliyor. El, ayak ve ağız hastalığı hakkında Ulus’a konuşan Enfeksiyon Hastalıkları Uzmanı Prof. Dr. Levent Doğancı, “Ağrı nedeniyle küçük çocukların beslenmesi bozularak sıvı ve beslenme yetersizliği oluşturabilir” dedi. Hastalığın, özgül bir tedavisinin olmadığını belirten Doğancı, hastalığın etkilerini düşürmede ateş düşürücü ve ağrı kesicilerin kullanılabileceğini söyledi. Belirtiler arasında el, ayak ve yüzde döküntü, ağız içi lezyonlar ve şiddetli boğaz ağrısı yer aldığını kaydeden Doğancı, “Hasta çocuklar bir hafta evde izole edilmeli, aksi halde bulaşma riski yüksek” uyarısında bulundu.

ÇOCUKLARDA VE ERİŞKİNLERDE FARKLI SEYREDİYOR
Çoğunlukla 10 yaş altındaki çocuklarda görülen, nadir olarak erişkinlerde de etkili olabilen el, ayak, ağız hastalığı hakkında konuşan Enfeksiyon Hastalıkları Uzmanı Prof. Dr. Levent Doğancı, “El, ayak ve ağız hastalığı genellikle küçük çocuklarda gözlenen ve çok ender erişkinlere de bulaşabilen iki değişik virüsün yaptığı bir infeksiyon hastalığıdır” diyerek hastalığın yaygınlığına dikkat çekti. Doğancı, hastalığın zaman zaman kreş ve okul çocukları arasında küçük salgınlara yol açabildiğini kaydetti. Hastalığın, görülme oranlarında dönemsel artışlar yaşanabildiğini kaydeden Doğancı, “Çocuklukta hafif geçen bir enfeksiyon, erişkinlikte daha ciddi sorunlara yol açabilir” dedi. Hastalığın iki değişik virüsle oluştuğunu söyleyen Doğancı, sözlerini şu cümlelerle sürdürdü, “Enterovirüs 71 ve Coxsackievirüs ayrı ayrı bu hastalığa yol açabilir. Tanı çoğu zaman kolay ve tipik bulguların görülmesiyle konulur. Salgınlar sırasında ilk olguların ayırıcı tanısı zorluk gösterebilir ve diğer döküntülü hastalıklarla karışabilir.”

HASTALIĞIN AŞISI BULUNMUYOR
Hastalığın özgül bir anti-viral tedavisi olmadığını ifade eden Doğancı, “Ateş düşürücü ve ağrı kesiciler kullanılabilir. Hidrasyonun sağlanması ve beslenmenin devam etmesi özellikle bebekler ve küçük çocuklar açısından çok önemlidir. Bu viral hastalık seyrinde aspirin ve türevleriyle, NSAID ilaçlardan kaçınmak gerekir. Aşısı yoktur” şeklinde konuştu. Komplikasyonların nadiren görülse de bazen tırnak düşmesine veya parmakların uçlarında geniş doku kayıplarına yol açabileceğine dikkat çeken Doğancı, “Erişkinlerde komplikasyon olasılığı daha fazla; bazen ciddi santral sinir sistemi tutulumu şeklinde görülebilir” dedi.

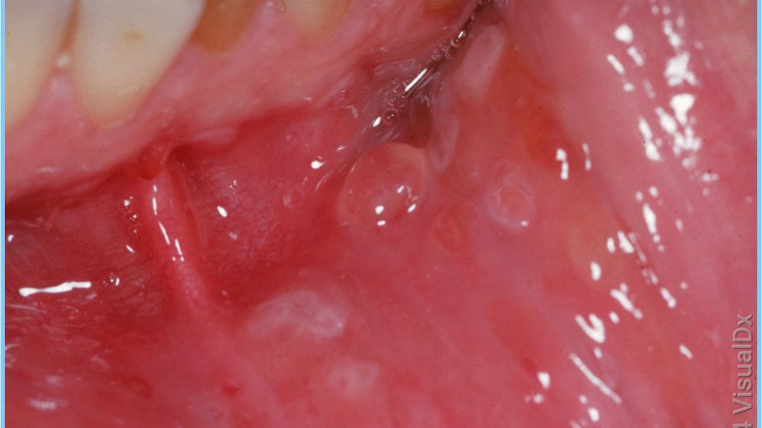
BELİRTİLERE DİKKAT ETMEK ÖNEM TAŞIYOR
Hastalığın belirtilerinden bahseden Doğancı, “Tipik bulgular el ve ayaklarda, bazen yüzde yaygın kırmızı, mor renkte döküntü, ateş, ağız içinde ve damak ve boğaz mukozasında tipik lezyonlar nedeniyle şiddetli boğaz ağrısı şeklindedir” dedi. Şiddetli ağrının çocukların beslenmesini olumsuz etkileyebileceğini belirten Doğancı, “Ağrı nedeniyle küçük çocukların beslenmesi bozularak sıvı ve beslenme yetersizliği oluşturabilir. Parmaklardaki döküntüler de şiddetli ağrıya yol açabilir. En belirgin sorun, ağız içi lezyonlarından kaynaklanan şiddetli ağrı ve yutma güçlüğüdür” şeklinde konuştu. Özellikle çok küçük çocukların beslenmeyi ve hatta su içmeyi reddedebileceğini vurgulayan Doğancı, bunun sonucunda dehidrasyon yani susuz kalma riskinin ortaya çıkabileceğine dikkat çekti.

Enfeksiyon Hastalıkları Uzmanı Prof. Dr. Levent Doğancı, el, ayak ve ağız hastalığı hakkında Ulus’a açıklamalarda bulundu.
“HASTA ÇOCUKLAR OKULA GİTMEMELİ”
Hastalığın bulaşma riskine karşı aileleri uyaran Doğancı, “Hasta olan çocukların bir hafta kadar evlerinde izolasyonu gerekiyor. Aksi takdirde okuldaki diğer çocuklara bulaşma riski olabilir. Küçük çocuklarda bulaşma ihtimali çok daha yüksektir. Çünkü günümüzde çocuklar çok erken yaşta kreşe başlıyor. Bu nedenle de ailelerin izolasyon ve ayırıcı tanı konularını bilmesi büyük önem taşıyor” şeklinde konuştu. Bunun yanı sıra hastalığın hayvanlarda gözlenen ağız ve ayak hastalığıyla ilgisi olmadığını da vurguladı.
Kaynak:Rüveyda Aslıipek
Türkçe karakter kullanılmayan ve büyük harflerle yazılmış yorumlar onaylanmamaktadır.